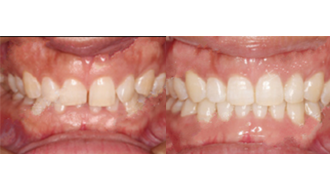
• 姓 名:王秋霞
  • 年 龄:23岁
  • 患者主诉:排齐牙列,解除拥挤
  • 治疗方案:扩弓配合片切排齐牙列
  • 治疗步数:30
  • 治疗周期:15个月
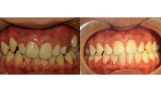
  • 姓 名:张红
  • 年 龄:30岁
  • 患者主诉:排齐牙列,解除拥挤
  • 治疗方案:扩弓配合片切排齐牙列
  • 治疗步数:28
  • 治疗周期:14个月
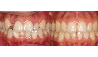
  • 姓 名:宋秋山
  • 年 龄:15岁
  • 患者主诉:排齐牙列,关闭间隙
  • 治疗方案:压低前牙,排齐牙列
  • 治疗步数:22
  • 治疗周期:11个月
  • 姓 名:吴娅昕
  • 年 龄:18岁
  • 患者主诉:排齐牙列,解除拥挤
  • 治疗方案:扩扩弓配合片切排齐牙列
  • 治疗步数:30
  • 治疗周期:15个月
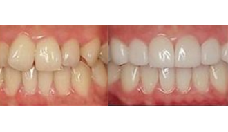
  • 姓 名:董倩怡
  • 年 龄:24岁
  • 患者主诉:改善深覆合和露龈笑
  • 治疗方案:压低前牙,排齐牙列
  • 治疗步数:24
  • 治疗周期:12个月
  • 患者牙齿矫正

  • 患者牙齿矫正

  • 患者牙齿矫正

  • 患者牙齿矫正

  • 患者牙齿矫正